// erro cache menssage in server... 98734892374892374 // Lock in line 44 Speciallità Ortodontia
logo especiallita

7 anos de idade, face equilibrada, sorriso com estética comprometida

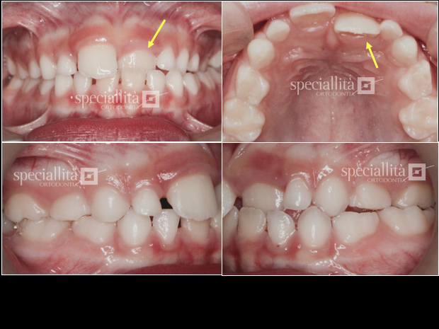
Dentição mista, mordida cruzada anterior envolvendo o incisivo central superior esquerdo (setas), que encontra-se inclinado em direção lingual

Utilização de Placa Removível com Mola Digital para movimentar o incisivo central superior esquerdo em direção labial

Viista frontal e oclusal da correção da mordida cruzada

Modificação obtida no sorriso

Modificação obtida no sorriso (Vista aproximada)

7 anos de idade, face equilibrada, sorriso com est�tica comprometida

Dentição mista, mordida cruzada anterior funcional. Observar contato prematuro localizado na borda dos incisivos centrais permanentes (setas)

Utilização de tala de madeira para realizar a movimentação dos dentes mal posicionados. Os exercícios são realizados diariamente, pelo próprio paciente

Vista frontal da correção da mordida cruzada anterior

Vista Lateral da correção da mordida cruzada anterior

Modificação obtida no sorriso

Aspecto facial após a intervenção ortodôntica

Modificação obtida no sorriso

  • foto
  • foto
  • foto
  • foto
  • foto
  • foto
  • foto
  • foto
  • foto
  • foto
  • foto
  • foto
  • foto
  • foto
  • foto
Speciallità Ortodontia ® - Todos os direitos reservados. Copyright 2012