// erro cache menssage in server... 98734892374892374 // Lock in line 44 Speciallità Ortodontia
logo especiallita

9 anos, face equilibrada, história de hábito de sucção de polegar até os 8 anos de idade. Sorriso invertido

Dentição permanente, mordida aberta anterior dento-alveolar. Interposição da lingua entre os dentes anteriores (seta)

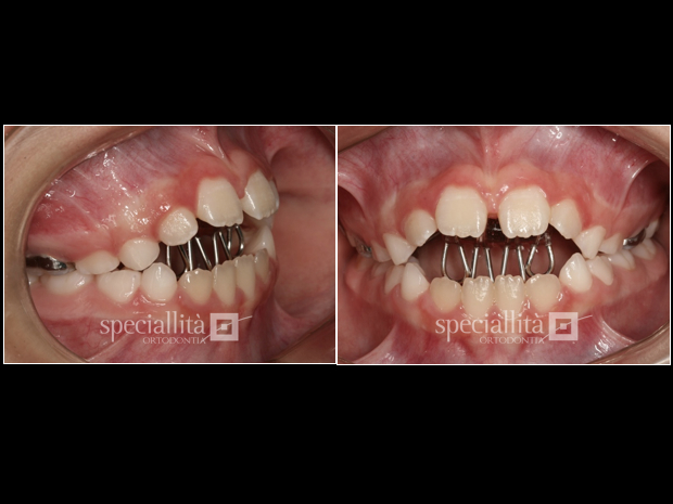
Utilização de Grade Lingual Removivel para impedir interposição lingual e permitir a correção da mordida aberta fisiologicamente, por meio de erupção dentária e crescimento alveolar na região anterior

Vista frontal da correção da mordida aberta anterior

Vistas laterais da correção da mordida aberta anterior

Modificação obtida no sorriso

Modificação obtida no sorriso (vista aproximada)

 

7 anos, face equilibrada, portadora de hábito de sucção de polegar. Sorriso invertido

Dentição mista, mordida aberta anterior dento-alveolar. Interposição da lingua entre os dentes anteriores (seta)

Utilização de Grade Lingual Fixa para impedir interposição lingual e permitir a correção da mordida aberta fisiologicamente, por meio de erupção dentária e crescimento alveolar na região anterior

Vista frontal da redução da mordida aberta anterior

Modificação obtida no sorriso

Modificação obtida no sorriso (vista aproximada)

  • foto
  • foto
  • foto
  • foto
  • foto
  • foto
  • foto
  • foto
  • foto
  • foto
  • foto
  • foto
  • foto
  • foto
Speciallità Ortodontia ® - Todos os direitos reservados. Copyright 2012